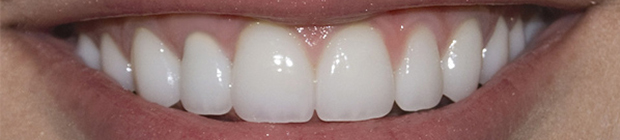
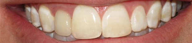
We performed jaw surgery for our patient Lavinne from Michigan, USA. She said, “Everything was great. I hardly felt any pain, and the results at the end made me very happy. The swelling was not very noticeable. I am very satisfied with my results.” Maxillofacial Surgeon Dr. Ender İlker.